Conservativa ed Endodonzia

La conservativa si occupa di prevenire, curare e ripristinare i denti danneggiati da carie, traumi o usura, mentre l’endodonzia si concentra sulla cura dei tessuti interni del dente (polpa) e dei canali radicolari, per salvare denti compromessi ed evitare estrazioni.
Presso Formadentale, utilizziamo sempre la diga dentale, uno strumento fondamentale che isola il dente, migliora la precisione del trattamento e garantisce igiene e comfort.
Grazie a tecniche moderne e materiali di alta qualità, i nostri interventi mirano a restaurare la funzione e l’estetica dei denti, proteggendo la salute orale nel tempo.
Igiene e sbiancamento dentale
Presso Formadentale poniamo grande attenzione alla prevenzione e alla cura quotidiana dei denti e delle gengive. Ogni seduta di igiene inizia con una istruzione personalizzata rivolta al paziente, per imparare le tecniche corrette di spazzolamento e uso del filo interdentale.
Per garantire una pulizia completa e delicata, utilizziamo il protocollo Airflow, una tecnologia avanzata che rimuove in modo efficace la placca sottogengivale e le macchie superficiali.


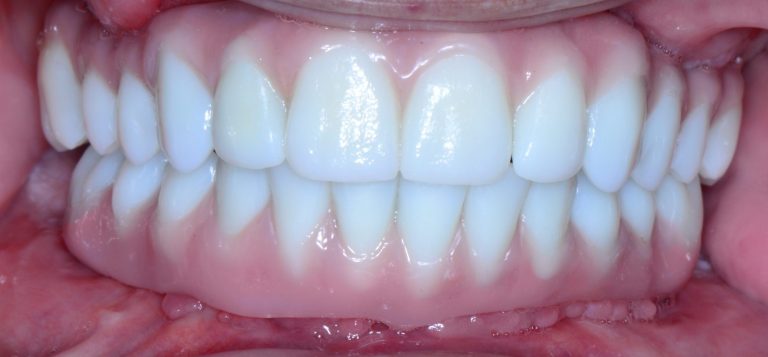
Protesi dentarie
Le protesi dentarie servono a restaurare denti mancanti o danneggiati, ripristinando funzionalità, estetica e comfort nella vita quotidiana.
Presso Formadentale realizziamo protesi personalizzate grazie a tecnologie avanzate che registrano i movimenti individuali della mandibola di ciascun paziente. Questo approccio ci permette di creare restauri estremamente precisi, confortevoli e durevoli, perfettamente adattati alla masticazione e alla funzione articolare di ogni persona.
L’uso di materiali di alta qualità e di procedure digitali all’avanguardia garantisce risultati estetici e funzionali, con un’attenzione particolare alla salute e al benessere orale a lungo termine.

Implantologia
L’implantologia dentale consente di sostituire i denti mancanti con soluzioni fisse e durature, migliorando estetica, funzione masticatoria e qualità della vita.
Presso Formadentale adottiamo tecniche all’avanguardia di chirurgia computer-guidata, che permettono di pianificare ogni intervento con precisione millimetrica. Grazie a questa tecnologia, è possibile posizionare gli impianti con massima sicurezza e predicibilità, riducendo i tempi chirurgici e migliorando i risultati funzionali ed estetici.
Il nostro approccio combina esperienza clinica, strumenti digitali avanzati e materiali di alta qualità, per offrire ai pazienti impianti affidabili, personalizzati e duraturi nel tempo.



Problematiche articolari dell ATM
Presso Formadentale ci occupiamo della valutazione e del trattamento delle disfunzioni dell’articolazione temporo-mandibolare (ATM). Queste problematiche possono causare dolore facciale, rumori articolari, difficoltà nell’apertura della bocca e tensione muscolare.
Grazie a un’approfondita analisi funzionale della mandibola, sviluppiamo trattamenti personalizzati per ridurre dolore e fastidi, migliorare i movimenti mandibolari e ripristinare l’equilibrio funzionale dell’articolazione, garantendo maggiore comfort nella masticazione e nel parlare.





